soins pratiqués
Parodontologie
Vos dents se déchaussent ? Vos dents bougent ? Vos gencives saignent ?
Il y a des solutions à la parodontie et des soins possibles après un bilan complet de votre potentielle parodontite au sein de notre cabinet : nettoyage des gencives en profondeur – surfaçage – élimination du tartre, greffe de gencive, greffe osseuse, freinectomie bébé – nourrisson – adolescent – adulte, dégagement de dents incluses
N’hésitez plus à prendre rendez-vous avec le Dr Mateu, pratique limitée en Parodontologie à Reims.
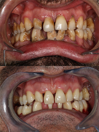
Les MALADIES PARODONTALES sont des infections chroniques des tissus de soutien des dents (os, gencive) dues à une accumulation de « bactéries » contenues dans la plaque dentaire. Cela aura un impact sur l’os qui entoure la racine des dents qui va se résorber créant des rétractions de gencive et des mobilités dentaires.
La plaque dentaire s’accumule naturellement sur les dents et durcit pour former le tartre dans le cadre d’un brossage non adaptée.

+ 50%
des adultes atteints
SAIGNEMENT . MOBILITÉ . PERTE DENTAIRE . BOURRAGE ALIMENTAIRE . SENSIBILITÉ . RETRACTION GENCIVE . MAUVAISE HALEINE . ABCÈS .
1ère consultation
- Examen précis des facteurs de risque : tabac, diabète ainsi que des dents et gencives au moyen d’une sonde parodontale permettant de visualiser la présence de saignement, de poche parodontale, de mobilités.
- Radiographies très précises évaluant les supports osseux autour des dents.
- Élaboration d’un plan de traitement précis et individuel.
Bilan Parodontal
- Détartrage si besoin
- Cartographie précise du « déchaussement » de chaque dent afin de pouvoir comparer les résultats obtenus aux prochaines séances
- Explication des Méthodes de Brossage adaptées à la maladie.
Surfaçage
- Le surfaçage consiste en une désinfection de vos gencives par l’élimination des bactéries, de la plaque dentaire/tartre sous gingivale grâce à des instruments spécifiques ultrasoniques associées à des produits désinfectants et parfois associées à une décontamination laser (en 1 ou 2 séances).
- Un traitement par antibiotique peut dans certains cas être envisagé.
Cette technique envisagée pour traiter les maladies parodontales est peu agressive, et généralement très efficace : elle permet de stopper le processus de destruction osseuse autour des dents et d’arrêter les saignements de gencive.
Réévaluation
- Une réévaluation aura lieu 8 semaines après le surfaçage en réalisant une nouvelle cartographie de votre bouche par un examen précis de vos dents/gencives et qui sera comparé avec la cartographie réalisée lors du Bilan Parodontal initial afin d’évaluer si le traitement à fonctionner.
- Un nettoyage sera également effectué ainsi qu’un contrôle des méthodes de brossage.
- Dans certain cas, un prélèvement microbien peut avoir lieu afin de pouvoir être plus précis dans le traitement donné.
Maintenance
Si le traitement par surfaçage suffit, un suivi régulier avec des rendez-vous de maintenance aura lieu selon un intervalle à définir (tous les 3/6/12mois selon la sévérité) où la cartographie sera réévaluée et où un nettoyage sera effectué. La maladie parodontale doit bénéficier d’un suivi À VIE pour éviter toute aggravation ou récidive par ces séances de maintenances parodontales personnalisées. A chaque séance, une réévaluation des méthodes de brossage sera effectuée.
Chirurgie parodontale
Si le traitement de surfaçage n’a pas été suffisant, une étape parfois chirurgicale sera nécessaire sur certaines dents pour éliminer les tissus infectées sous la gencive en soulevant chirurgicalement la gencive.
Parfois, même si la maladie parodontale est stabilisée, certains sites autour des dents peuvent bénéficier d’une régénération osseuse par la mise en place de biomatériaux dans le défaut ce qui permet de renforcer la dent et revenir à une situation presque normale.
« Une collaboration entre le Parodontiste et le patient est indispensable avec une coopération rigoureuse du patient sur le contrôle des facteurs de risque (Hygiène bucco-dentaire, tabac, suivi) »
