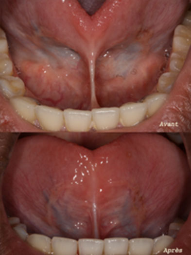
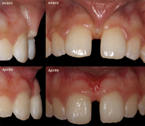
soins pratiqués

Freinectomie

La FREINECTOMIE du frein labial supérieur consiste en l’ablation de cette bride reliant la lèvre à la gencive sous anesthésie locale grâce à l’utilisation de Laser adapté aux tissus mous et/ou bistouri.

La FREINECTOMIE du frein lingual consiste en l’ablation de cette bride reliant la langue à la gencive sous anesthésie locale grâce à l’utilisation de Laser adapté aux tissus mous et/ou de bistouri.

Une rééducation devra être suivie en parallèle